当慢性阻塞性肺疾病邂逅甲型流感病毒感染:一场炎症风暴的蓄谋
当慢性阻塞性肺疾病邂逅甲型流感病毒感染:一场炎症风暴的蓄谋
来源:医师报 作者:张亚妮
慢阻肺是一种异质性疾病,其特征为慢性呼吸道症状(如呼吸困难、咳嗽、咳痰、急性加重),由气道(支气管炎、细支气管炎)和/或肺泡异常(肺气肿)所致,引起持续进行性加重的气流受限。全球25岁及以上人群中,慢阻肺患病率约为6%-10%。预计2020-2050年,病例数量将增加23%,到2050年全球接近6亿患者。GOLD 2026预测显示,受人口老龄化与持续暴露因素影响,到 2060年,全球年度死亡病例或将超过540万。
甲型流感病毒感染是全球范围内常见的呼吸道传染病,每年都会有大量的感染病例。流感病毒的变异性强,因此每年都有可能出现新的流感病毒株,导致大规模的流行病爆发。全球每年有数亿人感染流感,其中大部分为甲型流感病毒感染。流感的发病具有明显的季节性,一般在冬季和春季高发。近年来,由于全球气候变化和人口流动等因素,流感的发病趋势呈现出一定的复杂性和不确定性。根据世界卫生组织的统计,全球每年因流感导致的死亡人数在29万到65万间,大部分为65岁以上的老年人和有疾病的患者。
那么,当慢阻肺合并甲流,会发生怎样的一场邂逅呢?下面我们将和大家一起来学习、重温1例慢性阻塞性肺疾病合并甲流感染患者的诊疗经过。
病例信息
主诉:患者中老年女性,以“咳嗽咳痰30余年,加重半天。”之主诉入院。
现病史:30余年前无明显诱因出现咳嗽、咳痰,每逢秋冬季加重,间断口服“中药”治疗(具体不详)。后多次因咳嗽咳痰加重,就诊于我院,每年约1-2次,完善相关检查后诊断为“慢性阻塞性肺疾病、支气管扩张”,间断吸入“布地格福”。半天前无明显诱因再次出现咳嗽、咳痰加重,痰量少,同时伴有咽痛、流涕,后逐渐出现胸闷气短,活动后为著,无发热寒战,无胸痛、咯血,为进一步诊治就诊于我院,门诊以“慢性阻塞性肺疾病急性加重期”收住我科。此次发病以来,神志清、精神差,食纳及睡眠可,大小便无异常,体重无明显变化。
近期有“甲流”患者接触史。
既往史无特殊。
入院查体:体温37.5℃,脉搏112次/分,呼吸17次/分,血压136/82mmHg,指脉氧95%(鼻导管吸氧5L/min)。球结膜无水肿,口唇轻度紫绀,颈静脉无怒张。桶状胸,双侧呼吸动度对称一致,语颤减弱,叩诊过清音,双肺呼吸音低,可闻及湿性啰音。心界无扩大,腹平软,肝脾肋下未触及,双下肢无水肿。
辅助检查:入院血气+离子:实际碱剩余(受呼吸影响) 0.7mmol/L,FiO2 41.0%,酸碱度 7.326,二氧化碳分压 53.1mmHg,氧分压 68.2mmHg,氧饱和度 93.4%,钾离子浓度 3.1mmol/L,钠离子浓度 147mmol/L,葡萄糖浓度 5.9mmol/L,乳酸浓度 1.5mmol/L,血浆碳酸氢盐浓度 27.7mmol/L。
血常规+超敏C反应蛋白:白细胞数 10.02×10^9/L,中性粒细胞百分比 91.00%,中性粒细胞计数 9.12×10^9/L,超敏C反应蛋白 15.44mg/L;
降钙素原 0.150ng/mL;
凝血:活化部分凝血酶时间 22.50S,纤维蛋白原 3.62g/L;
肾功:肌酐 83.00μmol/L,肾小球滤过率 67.34mL/min/1.73㎡。
甲乙流病毒核酸联检:甲型流感病毒核酸检测 阳性(+) ;26项呼吸道病原体核酸检测:甲型流感病毒 阳性(+),鲍曼不动杆菌 阳性(+),铜绿假单胞菌 阳性(+)。
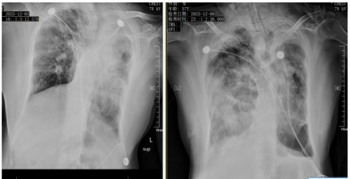
胸片可见双肺炎性渗出。
初步诊断:1.甲型流感病毒感染;2.重症肺炎;3.慢性阻塞性肺疾病急性加重 Ⅱ型呼吸衰竭,4.肾功能异常;5.电解质紊乱 低钾血症 高钠血症
治疗方案:吸氧,“注射用头孢噻肟钠2.0g q8h”抗感染,“奥司他韦75mg/次 2次/日”抗病毒治疗,“甲泼尼龙40mg qd”抗炎,“溴己新”祛痰、“福莫特罗、布地奈德”雾化等治疗。

12月5日 12月6日
病程第二日,患者病情骤然进展,呼吸费力,呼吸性酸中毒进行性加重,先后予以经鼻高流速吸氧、无创呼吸机辅助通气,后因患者氧合进行性下降,意识进行性变差,复查血气+离子示呼吸性酸中毒合并代谢性酸中毒、高钾血症,同时征得家属同意后,立即行经口气管插管呼吸机辅助通气。
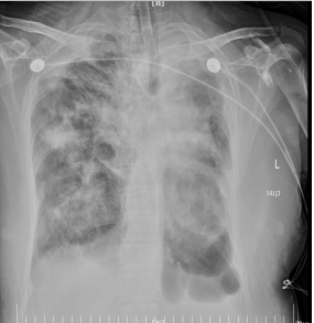
后患者病情持续进展,氧合指数<100mmHg,胸片可见肺部感染进行性加重,SOFA评分13分,“重症肺炎”、“ARDS”、“脓毒血症”诊断明确。

198项呼吸道核酸检测

12月14日
复查各项指标示:血常规+超敏C反应蛋白:白细胞数 11.27×10^9/L,中性粒细胞百分比 95.00%,淋巴细胞百分比 2.70%,中性粒细胞计数 10.71×10^9/L,淋巴细胞计数 0.30×10^9/L,血红蛋白浓度 164.00g/L,超敏C反应蛋白 205.46mg/L;脑利钠肽前体检测 9460.00pg/mL,降钙素原 >100.000ng/mL;肾功、肝功、电解质四项,心肌酶系列:总蛋白 48.50g/L,丙氨酸氨基转移酶 641.50U/L,天门冬氨酸氨基转移酶 1885.80U/L,尿素 12.90mmol/L,肌酐 258.10μmol/L,肾小球滤过率 17.08mL/min/1.73㎡,钠 147.60mmol/L,氯 98.80mmol/L,钙 1.63mmol/L,肌酸激酶 245.50U/L,肌酸激酶同工酶 58.20U/L,乳酸脱氢酶 4496.70U/L,α-羟丁酸脱氢酶 1709.10U/L,白蛋白 26.98g/L;凝血四项,D-二聚体:血浆凝血酶原时间 15.10S,血浆凝血酶原活动度 52.80%,血浆凝血酶时间 28.20S,活化部分凝血酶时间 44.80S,D-二聚体 2.36mg/L。
修正诊断为:1.重症肺炎 呼吸衰竭,2.急性呼吸窘迫综合征;3.甲型流感病毒感染,4.脓毒血症,5.多脏器功能衰竭 肝功能异常 肾功能不全 凝血功能异常 心功能不全,6.低蛋白血症
系结构性肺病患者,基础免疫力低下,调整治疗方案为:“美罗培南1.0g/d”、“利奈唑胺0.6g q12h”、“伏立康唑0.2g q12h”联合“帕拉米韦0.3g/d”广覆盖的抗感染治疗,同时启动“西维来司他钠 0.3g/d”抗炎(共14日);“辅酶Q10”营养心肌,患者血流动力学不稳定,去甲肾上腺素组液体持续泵入升压;“甘草酸二胺”、“还原性谷胱甘肽”、“多烯磷脂酰胆碱”保肝降酶治疗,“人血白蛋白20g/d”纠正低蛋白血症;后患者肾功进行性下降,尿量持续偏少,考虑为严重感染所致急性肾损伤,药物保守治疗效果欠佳,复查感染指标持续偏高,患者全身水肿明显,为减轻容量负荷及全身炎症反应、清除毒素,征得家属同意后,于病程第6日开始行床旁血液净化治疗,期间动态复查血气,调整透析相关参数;后复查血常规示血小板进行性下降,予以“重组人血小板生成素”对症治疗,血红蛋白下降,予以药物及间断配输红细胞。
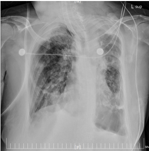
经以上综合治疗,患者病情逐渐好转,氧合较前改善,感染指标明显下降,肺部炎性渗出较前明显吸收;连续复查两次甲流核酸阴性,各脏器功能逐渐改善,尿量逐渐恢复,停止床旁血液净化治疗,目前CPAP模式持续脱机。

12月30日
治疗期间实验室指标变化:
PCT:

丙氨酸氨基转移酶:

天门冬氨酸氨基转移酶:

肌酐:

乳酸脱氢酶:

α-羟丁酸脱氢酶

总结
当慢阻肺合并甲流,病程进展迅速,接踵而至的可能是重症肺炎、ARDS、脓毒血症、多脏器功能衰竭,因此,对于此类患者,治疗手段一定要快、很、准,把握时机。
当炎症风暴席卷而来时,除传统的肺保护性通气策略,我们可以极早启用具有NE(中性粒细胞弹性蛋白酶)高度特异性抑制作用的西维来司他纳,减少中性粒细胞(PMN)浸润、抑制其释放NE,从而阻断进一步的炎症风暴,实现肺保护作用。既往多项临床研究证实,西维来司他钠可为ARDS患者带来PaO2/FiO2、肺损伤评分、肺功能、VT、重症监护室(ICU)住院时间、病死率等多维度改善。
同时,对于SIRS患者,若传统药物治疗效果欠佳,极早进行血液净化治疗,可达到清除炎症介质、毒素、过重的容量负荷等作用。
最后,慢阻肺病患者作为重症呼吸道感染的高风险人群,采用疫苗干预可预防急性加重、改善整体预后。GOLD 2026在流感疫苗方面也延续了慢阻肺病患者年度接种的核心推荐,同时明确优先选用高剂量(HD-IIV3)和佐剂(aIIV3)灭活疫苗。
作者简介

张亚妮
西安交通大学硕士
西安国际医学中心医院
西安国际医学中心医院RICU住院医师
陕西省健康促进与教育协会呼吸专委会委员
本文转载自独立学术期刊,仅供专业人士学术参考,不可作为诊疗依据,任何用药请严格遵循药品说明书.